TREATMENT AT BRISBANE SMILE BOUTIQUE

Welcome to Brisbane Smile Boutique: A Blend of Heritage and Modern Dentistry

Experience World-Class Aesthetic Dentistry in a Heritage Setting

Welcome to Brisbane Smile Boutique, a unique dental practice that harmoniously blends the charm of a heritage building with modern, state-of-the-art dental facilities. Nestled in the vibrant neighbourhood of Spring Hill, Brisbane, at 4 Rogers Street, our practice stands as a testament to architectural elegance and advanced dental care.

A Team of Experienced Female Dentists

At the helm of Brisbane Smile Boutique is our experienced dentist, Dr. Leila Haywood. Dr. Haywood, a graduate of the University of Queensland, has over 25 years of experience in the field of aesthetic dentistry.

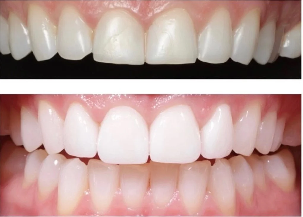
Excellence in Aesthetic Dentistry

Our focus at Brisbane Smile Boutique is aesthetic dentistry. We believe that a beautiful smile is a gateway to confidence and wellness.

Our services include:

- Porcelain Veneers: Crafted with precision to enhance your smile.

- Smile Design: Utilising Digital Smile Design technology, we tailor each smile makeover to your individual facial features.

- Invisalign: A discreet and modern approach to teeth alignment.

Advanced Facilities for a Superior Experience

In our pursuit of providing exceptional dental care, Brisbane Smile Boutique is equipped with:

- Dedicated Zoom Teeth Whitening Suites: For a bright and radiant smile.

- Digital Scanning: Ensuring precision and comfort in every procedure, with no mouthfuls of impression material

A Heritage Site with Modern Flair

Our practice is housed in a beautifully restored heritage building, offering a unique and calming environment. The blend of historical charm with contemporary design creates a space that is aesthetically pleasing for a relaxed dental experience.

Visit brisbane smile boutique

We invite you to experience the exceptional care at Brisbane Smile Boutique. Whether it’s for a routine check-up or a complete smile makeover, Dr. Haywood and our dedicated team are here to ensure your visit is comfortable and leaves you smiling with confidence.

Transforming smiles, enriching lives.